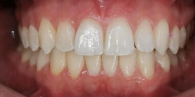
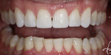
A smile makeover is no longer just for models and film stars.

With revolutionary new techniques and virtually painless treatments, a Smile Makeover and cosmetic dentistry are now readily accessible for almost anyone who is unhappy with the appearance of their smile or teeth.

How it works

Smile makeover procedures may include teeth whitening and straightening. It may even involve porcelain veneers or crowns, gum lift or bonding, or a complete restoration. Each situation is totally unique, you have full control over what you would like to achieve.

Your smile makeover may be possible to complete in just several weeks or phased over time if you prefer. It all starts with a cosmetic consultation with one of our dentists!

FOR MORE INFORMATION REGARDING THIS TREATMENT

CONTACT US OR CALL US 01277 810 239
BACK TO Cosmetic Dentistry

GET IN TOUCH

To speak with a member of our team to arrange or cancel an appointment or to make an enquiry as a new or existing patient, please get in touch.

TREATMENTS

We love our patients

google icon

Brilliant Service received from Herongate Dental. I visited on Wednesday 4th October 2023. I saw Louise for my routine oral hygiene clean as always and...

Arty was very lovely to my daughter today, who was nervous about visiting the dentist. She made her feel relaxed & talked her through what...

Having not been to the dentist for some years, I was very nervous, especially as I’d had a bad experience previously. However, my worries were...

Brilliant service from Herongate Dental, always 5*! My teeth are always cleaned impeccably by the lovely Louise, and I always leave gleaming! Thank you!

The whole team has been nothing but excellent every single time I have come in! I originally came in for an emergency appointment. I was...

My wife and I have been with the Herongate surgery for a number of years and have received the most caring and professional attention. By...

It is a very well-run dental practice. The waiting area is clean, calm, and comfortable, and the receptionist is pleasant and helpful. Mr. Singh is...

I can’t speak highly enough of this practice. The level of competence and care of everyone is outstanding. There’s such demand that booking needs to...

star icon
READ MORE
Treatment - Herongate Dental Surgery

A five-star experience

For our five-star patients.
Treatment - Herongate Dental Surgery

Tweakments for your smile

Creating an easily enhanced version of you.
Treatment - Herongate Dental Surgery

Long-lasting smile results

Keeping your teeth whiter for longer.
Treatment - Herongate Dental Surgery

Creating change just for you

Your future smile begins with dental implants.
Treatment - Herongate Dental Surgery

Natural results guaranteed

Subtle aesthetic treatments tailored to your wishes.
Treatment - Herongate Dental Surgery

A five-star experience

For our five-star patients.
Treatment - Herongate Dental Surgery

Tweakments for your smile

Creating an easily enhanced version of you.
Treatment - Herongate Dental Surgery

Long-lasting smile results

Keeping your teeth whiter for longer.
Treatment - Herongate Dental Surgery

Creating change just for you

Your future smile begins with dental implants.
Treatment - Herongate Dental Surgery

Natural results guaranteed

Subtle aesthetic treatments tailored to your wishes.
VIEW ALL TREATMENTS

instagram instagram Instagram

Want to stay updated on our latest news, products, and events? Follow us on Instagram. Don't miss out on all the fun and exciting content we have in store for you!

FOLLOW US ON INSTAGRAM

Opening Hours

MONDAY
09:00 AM - 16:00 PM
TUESDAY
09:00 AM - 16:00 PM
WEDNESDAY
09:00 AM - 16:00 PM
THURSDAY
09:00 AM - 16:00 PM
FRIDAY
09:00 AM - 15:30 PM
SATURDAY
By Appointment

Location